我们使用Cookie和类似技术使本网站正常运行,并分析流量和优化您的浏览体验。继续浏览本网站即表示您同意使用此类Cookie。
α1
精致轻巧 性能迅捷
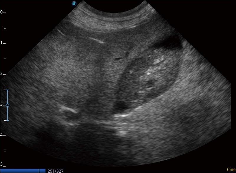
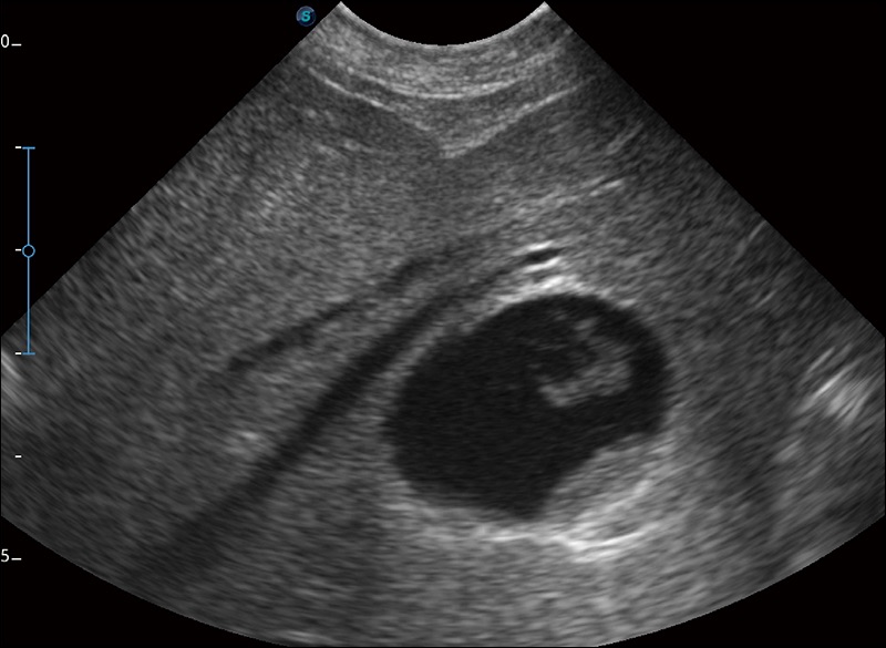
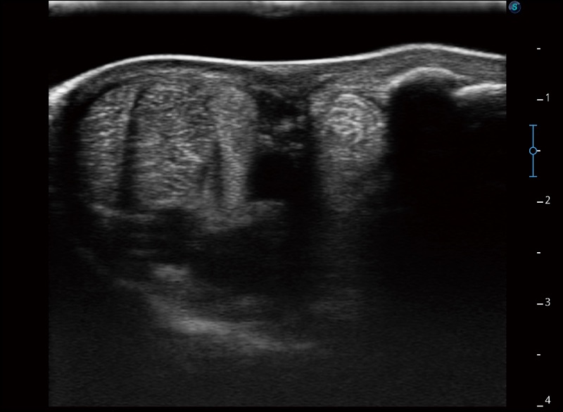
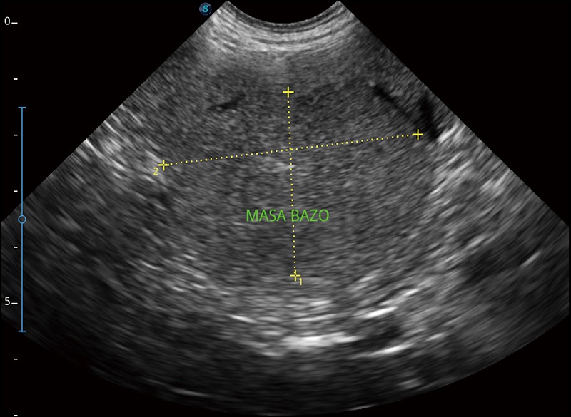
α1卓越的图像质量和便捷的工作流程,使每位宠物医生都能轻松扫查。其全面的兽用应用功能和紧凑型的结构设计,可以满足动物检查的多种需要。专业的预设检查模式和多领域测量软件包有助于为不同类型的动物提供检查, 让宠物医生能够出色的完成工作。
任意波束合成技术
在不牺牲时间分辨率的情况下提供出色的图像
空间复合成像
优化不同角度的图像
扩展成像
支持线阵和凸阵探头,一键操作即可获得更宽的图像视野
实时宽景成像
可实时观察感兴趣区域和病变位置
穿刺针增强
高清显示穿刺进针情况
连续波多普勒成像CW
为心脏功能评估提供更多诊断信息
人机工程学设计
15.6英寸高清显示器
灵活可调节的显示器
防水面板设计
快速启动
静音系统
广告
